Dr. Andre Amarante

Evanston's Premier Wisdom Tooth Dentist

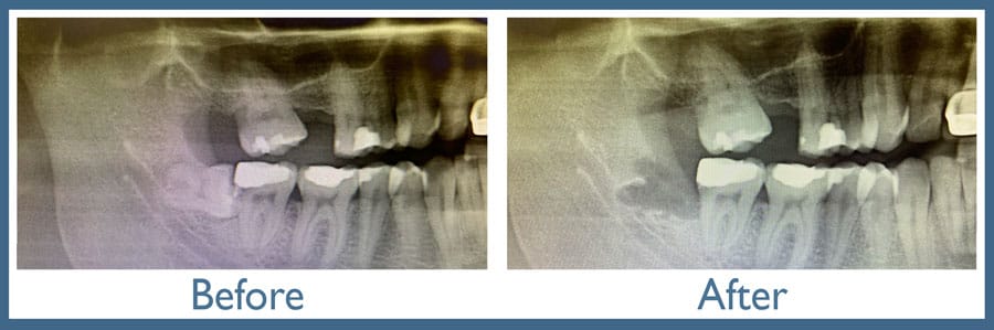
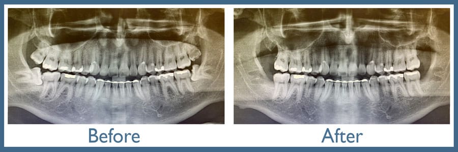
What is a wisdom tooth extraction?

Wisdom teeth, or third molars, can often be troublemakers, especially when they become impacted. Dr. Amarante, with specialized training in Oral & Maxillofacial Surgery, offers expert care for wisdom tooth extraction in Evanston, IL. Impacted wisdom teeth, unable to fully emerge, can wreak havoc, leading to pain, swelling, and even damage to surrounding teeth. Trust Dr. Amarante's expertise to alleviate discomfort and ensure optimal oral health.

Click video for sound See more videos

Signs you may need wisdom tooth extraction:

Wondering if your wisdom teeth are causing trouble? Here are some signs to watch out for that may indicate it's time for wisdom tooth extraction:

  • Persistent or recurring pain in the back of your mouth
  • Swelling, tenderness, or redness around the gumline of your wisdom teeth
  • Difficulty opening your mouth or chewing properly
  • Unpleasant taste or odor near the affected area
  • Jaw stiffness or discomfort, especially when opening or closing your mouth
  • Crowding or shifting of your other teeth
  • Difficulty maintaining proper oral hygiene around your wisdom teeth
  • Recurrent infections or abscesses in the gums
  • Development of cysts or tumors around impacted wisdom teeth
  • Recommendation from your dentist or oral surgeon based on X-rays and oral examination
Fellow Certificate in Evanston, IL

Why choose Way Dental?

The distinction between an ordinary dentist and Dr. Amarante lies in specialized education and training. While general dentists provide essential oral care services, Dr. Amarante's additional training, experience, and certification in Oral & Maxillofacial Surgery set him apart as a leader in complex procedures like wisdom tooth extraction.

With a deep understanding of facial anatomy and surgical techniques, Dr. Amarante offers a level of precision and skill that ensures optimal outcomes for patients. His commitment to ongoing education and mastery of advanced technologies further enhance his ability to deliver exceptional care. When it comes to your oral health, trust Dr. Amarante's specialized knowledge and expertise to provide the highest standard of treatment and personalized attention.

Our patients love our gentle approach!

“My first visit to Way Dental was back in November. I had a wisdom tooth with the biggest cavity and it needed to come out. When you walk into the office, it smells like my house after a day of cleaning and febreeze plug-ins. The staff is also extremely nice.”

- Alana T.

“I needed wisdom teeth extraction that I’ve been avoiding due to fear. I called up my regular dentist and he told me that he would recommend Dr. A %100. I got them done and Im so glad I did. The surgery went very smoothly. I had no pain just a little bit sore. The office called me up the next day to check on me and ask if I'm following their post-op and taking the necessary medications. What a great experience. Thank you Way Dental and Dr. Amarante.”

- Loiue D.

“Came in today for a wisdom tooth extraction…best place ever! I’ve been trying to get my teeth out for months and couldn’t find a place I felt comfortable and welcome and not just another patient coming in and out. Dr. Andre was fantastic and explained everything that would happen and made sure to ask if I had any questions during the whole process. ”

- Logan F.

“I had all four wisdom teeth removed that day, and I thought I would be crying from pain. But the whole process was painless and went by so quick. Dr. Amarante walked me through everything step by step, and he checked on me throughout the entire procedure. The recovery went beautifully, and my gums healed so nicely!”

- Ena A.

“The office is so clean and the staff is so kind! Dr. Andre is amazing. He is great at what he does! I had my wisdom teeth extracted and he really put me at ease. I was extremely comfortable throughout the entire procedure. Best dental office I've ever been to!”

- Jessica C.

“I was looking for a fast wisdom tooth extraction before heading back into town for college and ended up at Way Dental. The staff and facilities were fantastic. Dr. Andre Amarante did an amazing job with the surgery and was attentive to my comfort and pain throughout the entire time. The office called the next day to check up on me and answer any questions. Would 100% recommend!! Best dentist I've ever been to!”

- Maureen T.

Do I need my wisdom teeth removed?

Experiencing discomfort or noticing swelling at the back of your mouth near Evanston, IL? It could be a sign that your wisdom teeth need attention. Dr. Amarante's thorough assessment will determine if extraction is necessary to prevent further complications. Don't let impacted wisdom teeth disrupt your dental health – take action with Dr. Amarante's specialized care.

Do I need to be sedated?

Navigating the decision for sedation during wisdom tooth extraction? Dr. Amarante's expertise offers options tailored to your comfort level. Whether opting for local anesthetic or the added relaxation of nitrous oxide, rest assured, Dr. Amarante's gentle approach ensures a comfortable procedure. Trust in his expertise for a pain-free experience in Evanston, IL.

What to know about the process:

1. Consultation & Evaluation:

Your journey to relief begins with a warm welcome at Way Dental. Dr. Amarante will sit down with you to understand your concerns and conduct a thorough evaluation of your wisdom teeth. Through gentle examination and advanced imaging technology, he'll determine the best course of action tailored to your unique needs. Your comfort and understanding are our top priorities every step of the way.

2. Personalized Treatment Plan:

Once Dr. Amarante has gathered all the necessary information, he'll craft a personalized treatment plan designed to address your specific situation. With clarity and compassion, he'll walk you through each aspect of the procedure, ensuring you feel informed and empowered to make decisions about your oral health. You'll leave our office feeling confident and reassured, knowing you're in expert hands.

3. Comfortable Procedure:

On the day of your wisdom tooth extraction, you can expect a warm and welcoming atmosphere at Way Dental. Dr. Amarante and our caring team will ensure you feel relaxed and at ease throughout the entire process. With the gentle touch of our experienced staff and the option for localized anesthesia or nitrous oxide, any apprehension will melt away as you settle in for a comfortable experience.

4. Swift Recovery & Follow-Up:

As your procedure concludes, Dr. Amarante will provide clear instructions for your post-operative care, ensuring a smooth and speedy recovery. You'll receive guidance on managing any discomfort and maintaining optimal oral hygiene as you heal. Rest assured, our team will be readily available to address any questions or concerns that may arise during your recovery process. Your comfort is our #1 priority.

Latest imaging technology:

Be Insta Friends with Rob

Follow his amazing adventures on Way Dental's Instagram

Website Design by Clue Dental Marketing © . All right reserved.
Way Dental Cosmetic Dentist Logo Cosmetic Dentist Practice
2424 Main Street Evanston IL 60202
1-224-999-1224 USD Cash, Check, MasterCard, Visa, Discover, American Express, Most Dental Insurance Plans, CareCredit
Andre Amarante Doctor